Phát hiện bất thường tình cờ trên phim X-quang toàn cảnh không phải hiếm gặp trong thực hành lâm sàng. Tuy nhiên, khi tổn thương nằm tại vùng khớp thái dương hàm (TMJ) và biểu hiện dưới dạng nhiều khối cản quang, bác sĩ nha khoa cần có cách tiếp cận chẩn đoán hệ thống, phân biệt đúng bản chất tổn thương và đưa ra quyết định xử trí phù hợp. Bài viết này phân tích chuyên sâu một ca lâm sàng điển hình ở bệnh nhân cao tuổi, đồng thời cung cấp khung chẩn đoán và chiến lược theo dõi – điều trị dựa trên bằng chứng.
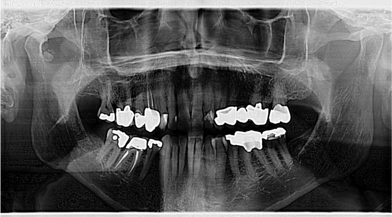
Bệnh nhân này được chuyển đến để đánh giá một vùng cản quang được phát hiện tình cờ trên phim X-quang toàn cảnh.
R.F. John Holtzen, DMD
Ngày 18 tháng 4 năm 2020
Thời gian đọc: 4 phút
Hình 1
.png)
Trình bày ca bệnh và tiền sử
Một bệnh nhân nam 78 tuổi được chuyển đến bác sĩ phẫu thuật hàm mặt để đánh giá một vùng cản quang được phát hiện tình cờ trên phim X-quang toàn cảnh (hình 1). Bệnh nhân là người khỏe mạnh, năng động; tiền sử y khoa chỉ đáng chú ý với tăng huyết áp đã được kiểm soát tốt và trào ngược dạ dày – thực quản mức độ nhẹ. Thuốc đang sử dụng gồm lisinopril và omeprazole, không có tiền sử dị ứng thuốc.
Vùng bất thường trên phim toàn cảnh xuất hiện dưới dạng nhiều cấu trúc cản quang, ranh giới rõ, nằm phía dưới lồi cầu và phía trước cổ lồi cầu phải.
Bệnh nhân cho biết trong nhiều năm có tiếng “lục cục” phát ra từ khớp thái dương hàm (TMJ) bên phải khi vận động và thỉnh thoảng cảm thấy khó chịu tại vùng này. Tiếng lục cục dần biến mất và được thay bằng tiếng lạo xạo (crepitance) cùng với cảm giác khó chịu ít thường xuyên hơn nhưng vẫn xuất hiện từng đợt. Bệnh nhân không ghi nhận hạn chế vận động hàm, không có tiền sử kẹt khớp mở hoặc đóng. Ông cũng không nhớ có chấn thương vùng mặt trước đây.
Khám lâm sàng toàn diện và đánh giá
Khám lâm sàng cho thấy bộ răng người trưởng thành khỏe mạnh với khớp cắn hạng I ổn định. Hàm dưới có biên độ vận động bình thường: há tối đa 44 mm, đưa ra trước 8 mm, vận động sang phải và trái mỗi bên 8 mm, không lệch đường giữa khi há miệng. Có thể sờ thấy tiếng lạo xạo nhẹ tại TMJ phải, nhưng không có đau khi ấn vào khớp hoặc cơ vùng mặt.
Chẩn đoán phân biệt tại thời điểm này bao gồm:
- Thoái hóa khớp với các gai xương lành tính
- Bệnh lý chondromatosis hoạt dịch
- Bệnh lắng đọng calcium pyrophosphate (CPPD)
.png)
Bệnh lắng đọng calcium pyrophosphate (CPPD)
CPPD là một bệnh lý khớp hiếm khi ảnh hưởng đến TMJ. Bệnh liên quan đến sự lắng đọng tinh thể calcium pyrophosphate trong khoang khớp và thường biểu hiện hình ảnh cản quang dạng “đám mây” bao quanh lồi cầu. Bệnh có thể liên quan đến rối loạn chuyển hóa phosphate. Bệnh nhân thường biểu hiện đau, sưng khớp và kèm hạn chế há miệng (trismus).
Chondromatosis hoạt dịch khớp thái dương hàm
Chondromatosis hoạt dịch của TMJ cũng là một rối loạn tăng sinh lành tính hiếm gặp, đặc trưng bởi sự hình thành các nốt sụn trong khoang khớp của các khớp có hoạt dịch. Theo thời gian, các nốt này tách rời, vôi hóa và di chuyển tự do trong khớp.
Bệnh nhân thường có triệu chứng đau, hạn chế há miệng và sưng khớp. Hình ảnh X-quang điển hình cho thấy một khối không đồng nhất trong khoang khớp kèm theo tràn dịch khớp rõ.
Thoái hóa khớp thái dương hàm
Thoái hóa khớp TMJ là hậu quả của nhiều yếu tố gây nên cả biến đổi viêm trong khớp và tình trạng quá tải cơ học. Triệu chứng có thể dao động từ đau, sưng, hạn chế chức năng, đến tiếng khớp không đau hoặc thậm chí không có triệu chứng.
Trên phim X-quang có thể thấy:
- Thoái hóa và xơ cứng cấu trúc khớp
- Tái cấu trúc xương
- Thoái hóa và di lệch đĩa khớp
- Đôi khi có tăng sinh xương
Thành phần quá tải cơ học có thể gây tăng sinh xương, lâu dần có thể tách ra tạo thành các gai xương tự do (osteophytes). Tình trạng này về bản chất là lành tính và điều trị chủ yếu dựa trên triệu chứng.
.png)
Chẩn đoán
Chẩn đoán xác định trong trường hợp này không thể thực hiện nếu không có đánh giá mô bệnh học các khối cản quang quan sát được trên phim.
Chẩn đoán giả định ở bệnh nhân này là các gai xương lành tính thứ phát do thoái hóa khớp thái dương hàm. Do hình ảnh hiện tại mang tính chất lành tính và để chẩn đoán xác định cần can thiệp mở khớp hoặc nội soi khớp, nên quyết định được đưa ra là theo dõi sát trong thời gian tới.
Nếu hình ảnh X-quang trở nên đáng lo ngại hơn hoặc bệnh nhân xuất hiện triệu chứng rõ rệt, phương án can thiệp phẫu thuật sẽ được xem xét lại.
Tài liệu tham khảo
1/ Kwon KJ, Seok H, Le JH và cộng sự. Bệnh lắng đọng tinh thể calcium pyrophosphate dihydrate tại khớp thái dương hàm: chẩn đoán và điều trị. Maxillofacial Plastic and Reconstructive Surgery. 2018;40(1):19. doi:10.1186/s40902-018-0158-0
2/ Canhão H, Fonseca JE, Leandro MJ và cộng sự. Nghiên cứu cắt ngang trên 50 bệnh nhân mắc bệnh lý khớp do tinh thể calcium pyrophosphate dihydrate. Clinical Rheumatology. 2001;20(2):119-122. doi:10.1007/s100670170081
3/ von Lindern JJ, Theuerkauf I, Niederhagen B, Bergé S, Appel T, Reich RH. Chondromatosis hoạt dịch khớp thái dương hàm: đặc điểm lâm sàng, chẩn đoán và mô bệnh học. Oral Surgery, Oral Medicine, Oral Pathology, Oral Radiology, and Endodontics. 2002;94(1):31-38. doi:10.1067/moe.2002.123498
4/ Balasundaram A, Geist JR, Gordon SC, Klasser GD. Chẩn đoán X-quang chondromatosis hoạt dịch khớp thái dương hàm: báo cáo ca lâm sàng. Journal of the Canadian Dental Association. 2009;75(10):711-714.
5/ Zarb GA, Carlsson GE. Rối loạn khớp thái dương hàm: thoái hóa khớp. Journal of Orofacial Pain. 1999;13(4):295-306.
6/ Sadaksharam J, Khobre P. Gai xương tại khớp thái dương hàm – phổ hình ảnh trên chụp cắt lớp chùm tia hình nón (CBCT): báo cáo bốn ca lâm sàng. Journal of Indian Academy of Oral Medicine and Radiology. 2016;28(3):289-291.
7/ Moses JJ, Hosaka H. Kìm sinh thiết nội soi khớp trong chẩn đoán xác định chondromatosis hoạt dịch khớp thái dương hàm: báo cáo ca và tổng quan mô bệnh học. Oral Surgery, Oral Medicine, Oral Pathology. 1993;75(1):12-17. doi:10.1016/0030-4220(93)90398-n
R.F. John Holtzen, DMD