Trong những năm gần đây, nha khoa đã chứng kiến sự chuyển dịch từ kỹ thuật đánh bóng bằng cốc cao su truyền thống sang công nghệ đánh bóng bằng khí nén (air polishing). Sự thay đổi này không chỉ vì lý do tiết kiệm thời gian, tăng sự thoải mái cho bệnh nhân và khả năng loại bỏ mảng bám nhiễm màu, mà còn được củng cố bởi các bằng chứng khoa học về hiệu quả của đánh bóng khí dưới nướu đối với mô nha chu.
Phục hồi sức khỏe nướu: Ca lâm sàng về cạo vôi – láng gốc răng kết hợp đánh bóng bằng bột glycine
Tác giả: Amber Auger, MPH, RDH
Ngày 9 tháng 6, 2025 – Thời gian đọc: 6 phút
Giới thiệu
Amber Auger trình bày một ca lâm sàng về điều trị cạo vôi – láng gốc răng (SRP) có sử dụng đánh bóng khí với bột glycine.
Khi thiết bị đánh bóng khí được giới thiệu vào những năm 1970, mục đích ban đầu của chúng là loại bỏ vết bẩn và mảng bám trên bề mặt răng bằng bột natri bicarbonat. Tuy nhiên, do độ mài mòn cao, loại bột này có thể gây kích ứng nướu, ê buốt, và làm hư hại vật liệu phục hồi hoặc sealant. Các thiết bị khi đó có nhiều hạn chế và không mang lại sự thoải mái cho bệnh nhân.
Bước sang những năm 2000, bột glycine ra đời và mang lại bước ngoặt trong công nghệ đánh bóng khí. Với kích thước hạt nhỏ hơn nhiều, glycine giúp loại bỏ mảng bám và vết bẩn nhẹ nhàng hơn, cả trên và dưới nướu. Nhờ đặc tính mềm và nhỏ mịn, glycine có thể sử dụng an toàn trên implant, bề mặt chân răng, mắc cài chỉnh nha, và phục hình, đồng thời thân thiện với mô mềm.
Case lâm sàng
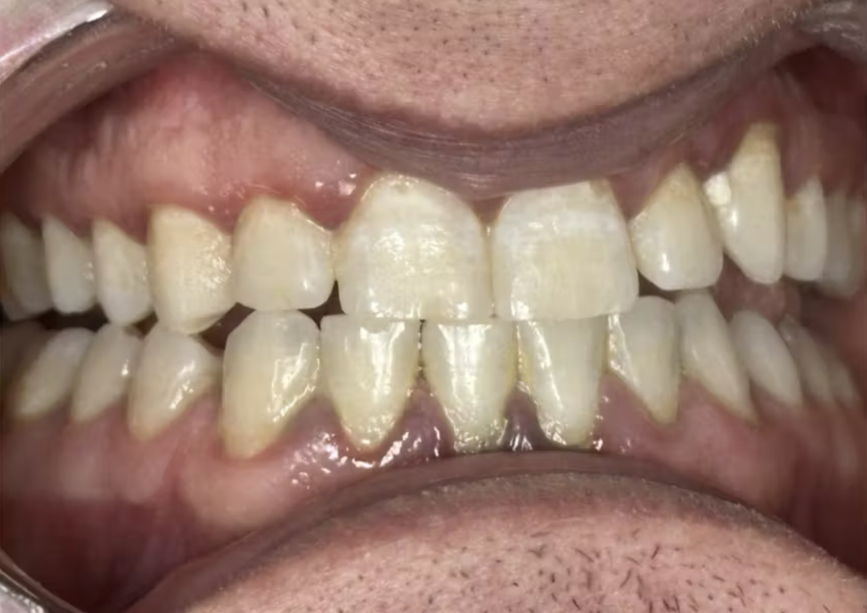
Mục tiêu của ca lâm sàng này là mô tả chi tiết quá trình điều trị nha chu không phẫu thuật có sử dụng đánh bóng khí dưới nướu bằng bột glycine trên một bệnh nhân nam 35 tuổi, không đi khám răng hơn 5 năm do sợ đau, khó chịu và bận rộn. Bệnh nhân đến khám vì chảy máu nướu và hôi miệng.

Buổi hẹn đầu tiên kéo dài 90 phút gồm:
-
Chụp phim X-quang toàn miệng và phim toàn cảnh
-
Khám ung thư miệng, đo huyết áp, chụp ảnh trong miệng
-
Quét iTero, lập sơ đồ nha chu toàn bộ (168 vị trí)
-
Hướng dẫn vệ sinh răng miệng và lập kế hoạch điều trị không phẫu thuật
-
Đánh bóng trên nướu bằng bột glycine
-
Cạo vôi trên nướu vùng răng cửa dưới nhằm giúp bệnh nhân quen cảm giác điều trị và giảm lo âu.
Kết quả chẩn đoán hình ảnh cho thấy:
-
Mất xương dọc, cao răng cản quang, có retainer mặt trong hàm dưới,
-
Một số khoảng dây chằng quanh răng giãn rộng cục bộ,
-
Không có răng phục hồi, tổng cộng 28 răng nguyên vẹn.

Đánh giá nha chu:
-
Túi nha chu sâu toàn hàm,
-
Chảy máu khi thăm dò, mô nướu phồng to, đỏ sẫm và sung huyết rõ ở vùng răng trước trên và dưới.

Điều trị
Ở lần hẹn sau, bệnh nhân được thực hiện SRP bên phải, bắt đầu bằng đánh bóng khí dưới nướu bằng bột glycine để loại bỏ mảng bám và vết nhiễm màu còn sót lại. Thiết bị sử dụng nước ấm giúp tăng sự thoải mái cho bệnh nhân. Sau đó, cao răng còn lại được loại bỏ bằng đầu piezo chuyên biệt cho cao răng nặng, dùng chế độ Soft Mode của thiết bị PWR Pair để giảm đau nhưng vẫn hiệu quả.
Trong suốt điều trị, chỉ sử dụng duy nhất bột glycine dưới nướu — không áp dụng laser, thuốc kháng sinh, hoặc phương pháp làm khô mô khác — nhằm đánh giá hiệu quả thực tế của glycine.
Bệnh nhân được hướng dẫn:
-
Dùng máy tăm nước 2 lần/ngày dọc theo viền nướu (theo hình chữ M ở hàm trên và chữ W ở hàm dưới),
-
Dùng kem đánh răng có stannous fluoride ổn định 2 lần/ngày,
-
Sử dụng bàn chải điện,
-
Và quay lại điều trị nửa hàm trái với cùng quy trình.
Cơ sở khoa học
Bột đánh bóng khí dưới nướu dựa trên glycine và trehalose đã được chứng minh có tác dụng kháng khuẩn, làm giảm vi khuẩn gây bệnh nha chu như Porphyromonas gingivalis và Tannerella forsythia.
Các nghiên cứu in vitro cho thấy các loại bột này có thể điều hòa biểu hiện cytokine, sự sống và tăng sinh của tế bào.
Dù bệnh nhân nha chu có thể hồi phục mô nướu, nhưng họ vẫn có nguy cơ tái phát cao và cần duy trì kiểm soát chặt chẽ.
Kết quả
Sau 4 tuần tái khám, mô nướu đáp ứng rất tốt:
-
Chỉ còn 3 vị trí chảy máu, tức giảm so với ban đầu,
-
Mô nướu săn chắc, bám sát thân răng,
-
Bệnh nhân hợp tác tốt và cải thiện đáng kể vệ sinh răng miệng tại nhà.
Bệnh nhân chia sẻ:
“Đây là lần lấy cao răng chi tiết và nhẹ nhàng nhất tôi từng trải qua – hoàn toàn không đau.”
Kết luận
Điều trị bằng SRP kết hợp đánh bóng khí với bột glycine không chỉ cải thiện đáng kể tình trạng mô nướu, mà còn tăng sự hài lòng và tuân thủ của bệnh nhân.
Đây là một phương pháp hiệu quả, an toàn và thân thiện với mô mềm, đáng được ứng dụng rộng rãi trong điều trị nha chu không phẫu thuật.
Ghi chú của biên tập viên:
Bài viết này được đăng trong số tháng 6/2025 của Tạp chí RDH.
Tài liệu tham khảo
Zhu M, Zhao M, Hu B, Wang Y, Li Y, Song J.
Hiệu quả của đánh bóng khí bằng bột glycine trong điều trị duy trì nha chu: tổng quan hệ thống và phân tích gộp.
J Periodontal Implant Sci. 2021;51(3):147–162. doi:10.5051/jpis.1902340117
→ Nghiên cứu này chứng minh rằng đánh bóng khí bằng bột glycine (GPAP) giúp giảm mảng bám, viêm nướu và độ sâu túi nha chu trong điều trị duy trì nha chu, đồng thời ít gây tổn thương mô hơn so với cạo vôi truyền thống.
Sodani P, Dogra S, Raj D, Bhagat V.
Nghiên cứu so sánh giữa natri bicarbonat và hyaluronidase về cảm nhận đau, mức độ gây tê và mất vận động trong gây tê quanh nhãn cầu cho phẫu thuật đục thủy tinh thể.
Anesth Essays Res. 2022;16(1):31–35. doi:10.4103/aer.aer_128_21
→ Mặc dù nghiên cứu này không trực tiếp trong nha khoa, nó minh họa tính kích ứng cao và khả năng gây ê buốt của natri bicarbonat, củng cố lý do thay thế bằng bột glycine nhẹ nhàng hơn trong đánh bóng khí.
Boeira PO, dos Santos CS, de Azevedo Kinalski M, et al.
Đánh bóng khí bằng bột glycine so với nạo túi bằng curette trong điều trị viêm niêm mạc quanh implant: tổng quan hệ thống và phân tích gộp.
Dent Rev. 2021;1(1):100003. doi:10.1016/j.dentre.2021.100003
→ Kết quả chỉ ra rằng GPAP hiệu quả tương đương hoặc cao hơn curette truyền thống trong điều trị viêm niêm mạc quanh implant (peri-implant mucositis), với mức độ an toàn mô mềm vượt trội.
Wenzler JS, Krause F, Böcher S, et al.
Tác động kháng khuẩn của các loại bột đánh bóng khí khác nhau trong mô hình biofilm dưới nướu.
Antibiotics (Basel). 2021;10(12):1464. doi:10.3390/antibiotics10121464
→ Nghiên cứu in vitro cho thấy bột glycine và trehalose có khả năng ức chế mạnh vi khuẩn nha chu gây bệnh như P. gingivalis và T. forsythia, đồng thời duy trì cân bằng hệ vi sinh dưới nướu tốt hơn so với bột bicarbonat hoặc erythritol.
Vinel A, Al Halabi A, Roumi S, et al.
Điều trị nha chu không phẫu thuật: cạo vôi – láng gốc răng (SRP) và các hướng tiếp cận điều trị tiên tiến.