Bài viết này phân tích các yếu tố then chốt ảnh hưởng đến sự bám dính vào ngà răng, bao gồm chuẩn bị bề mặt, hệ thống chất dán, kỹ thuật etching và các phương pháp ngăn ngừa thoái hóa, nhằm nâng cao độ bền của phục hồi.
Nathaniel Lawson, DMD, PhD
Ting-Chia Liu, BDS, MDS
Pouya Sabanik, DDS, PgC
Ngày 28 tháng 3 năm 2026
Thời gian đọc: 11 phút
Điểm nổi bật chính
Chuẩn bị bề mặt đúng cách, bao gồm
lựa chọn dụng cụ và kiểm soát smear layer, là yếu tố thiết yếu để đạt độ bám dính hiệu quả, đặc biệt với hệ thống self-etch.
Hệ thống
bonding hai chai cho phép kiểm soát tốt hơn quá trình sử dụng primer và adhesive; bay hơi dung môi đầy đủ là yếu tố quyết định độ bền liên kết.
Chà xát chủ động khi bôi adhesive giúp tăng khả năng thấm nhập và chất lượng liên kết; chiếu đèn đầy đủ đảm bảo polymer hóa hoàn toàn.
Kiểm soát độ ẩm sau
etching và tránh etch quá mức giúp ngăn xẹp collagen và bảo tồn lớp hybrid.
Sử dụng chất ức chế MMP như chlorhexidine có thể hạn chế thoái hóa enzym, cải thiện độ ổn định lâu dài của lớp hybrid.
Tổng quan
Trong nhiều phục hồi trực tiếp kích thước trung bình và lớn, diện tích ngà lộ ra có thể lớn hơn men răng. Để chống lại lực co polymer của composite và truyền lực nhai cũng như nhiệt trong phục hồi, cần có một liên kết ngà bền vững.
Liên kết ngà đạt được thông qua:
- Lớp hybrid: hình thành khi ngà bị khử khoáng, lộ ra mạng collagen và được thấm nhựa dán rồi polymer hóa.
- Resin tag: hình thành khi adhesive thâm nhập vào ống ngà.
So với men răng, bonding vào ngà nhạy cảm kỹ thuật hơn do:
- Ngà có độ ẩm cao
- Thành phần hữu cơ nhiều
- Cấu trúc mô học biến thiên
Do đó cần kiểm soát chặt:
- Độ ẩm
- Sự thấm nhập
- Sự bay hơi dung môi
.png)
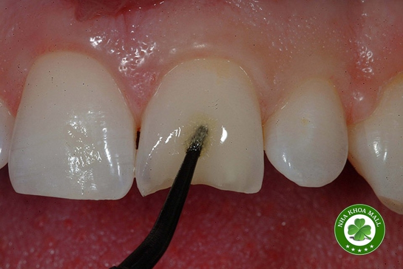
Chuẩn bị bề mặt trước bonding
Dụng cụ sửa soạn ảnh hưởng đến độ bền liên kết thông qua smear layer:
- Mũi kim cương thô → smear layer dày nhất
- Kim cương mịn → trung bình
- Mũi carbide → mỏng nhất
Ý nghĩa lâm sàng:
- Total-etch: acid phosphoric loại bỏ hoàn toàn smear layer → ít phụ thuộc dụng cụ
- Self-etch: adhesive phải xuyên qua smear layer → lớp quá dày sẽ làm giảm độ bám
→ Khuyến nghị: dùng mũi carbide hoặc kim cương mịn cho bước hoàn tất khi dùng self-etch.
Air abrasion (sandblasting):
- Giúp làm sạch bề mặt
- Không ảnh hưởng rõ rệt đến lực dán
- Có thể cải thiện nếu kết hợp tưới nước
Hệ thống bonding 1 bước và 2 bước
Hệ thống 2 bước
- Primer: chứa monomer ưa nước (HEMA) + dung môi (ethanol, acetone, nước)
→ giúp thấm vào mạng collagen ẩm
- Adhesive: chứa monomer kỵ nước (Bis-GMA), chất điều chỉnh độ nhớt, chất khơi mào
quang trùng hợp
Ưu điểm:
Kiểm soát tốt hơn từng bước
Tăng độ bền liên kết
Lưu ý:
Primer cần bay hơi dung môi kỹ
Adhesive cần chiếu đèn đầy đủ
Hệ thống 1 bước
Gộp primer và adhesive
Ưu điểm:
- Đơn giản
- Tiết kiệm thời gian
Nhược điểm:
- Dễ hút nước hơn theo thời gian
- Khó bay hơi dung môi hoàn toàn
Total-etch và Self-etch
Total-etch (etch & rinse)
Acid phosphoric loại bỏ hydroxyapatite
Lộ mạng collagen
Self-etch
Monomer acid (MDP) vừa etch vừa primer
Hòa tan smear layer và tích hợp vào hybrid layer
So sánh
Total-etch: hybrid layer dày 3–4 µm
Self-etch: khoảng 1 µm
Tuy nhiên self-etch vẫn đạt lực dán tương đương nhờ: Liên kết hóa học với calcium
Trong một số trường hợp (ngà xơ cứng), total-etch có thể cho retention tốt hơn.
Không vượt quá khuyến cáo (≈15 giây)
Etch quá mức gây:
- Vùng collagen khử khoáng sâu
- Adhesive không thấm hết → dễ thoái hóa lâu dài
Kiểm soát độ ẩm
Total-etch: ngà cần ẩm nhẹ để tránh xẹp collagen
Adhesive hiện đại có thể tái hydrat hóa phần nào
Self-etch:
→ Không cần làm ẩm trước
→ Có thể áp dụng trên bề mặt hơi khô
Chà xát chủ động adhesive
Tăng thấm nhập vào collagen
Tăng độ bám
→ Luôn scrub thay vì chỉ đặt thụ động
.png)
Thổi khí bay hơi dung môi
Rất quan trọng trước khi chiếu đèn
Dung môi còn lại gây:
- Lỗ rỗng
- Giảm độ bền
Quá dày → yếu cơ học, dễ thấy trên X-quang
Quá mỏng → polymer hóa không hoàn toàn
Giải pháp:
- Bôi 2 lớp
- Hoặc phủ thêm flowable composite
Cần đủ năng lượng (cường độ + thời gian)
Ví dụ:
- 3 giây ánh sáng mạnh ≈ 20 giây ánh sáng yếu
- 1 giây → không đủ
Ngăn ngừa thoái hóa hybrid layer
Thoái hóa enzym
Do MMPs phá hủy collagen
Giải pháp:
→ Chlorhexidine 2%
Thoái hóa thủy phân
Nước xâm nhập từ ống ngà
Gây phá vỡ cấu trúc resin
→ Cần:
Thấm resin đầy đủ
Hạn chế tính ưa nước quá cao
Kết luận
Bonding ngà là một quy trình nhạy cảm kỹ thuật, đòi hỏi kiểm soát đồng thời nhiều yếu tố:
- Chuẩn bị bề mặt
- Kiểm soát smear layer
- Lựa chọn hệ thống bonding
- Kiểm soát độ ẩm và dung môi
- Kỹ thuật thao tác (scrubbing, thổi khí, chiếu đèn)
- Ngăn ngừa thoái hóa sinh học
Tối ưu hóa từng bước này sẽ giúp cải thiện đáng kể độ bền phục hồi và tuổi thọ điều trị trên lâm sàng.
Tài liệu tham khảo
Van Meerbeek B, Yoshihara K, Van Landuyt K, Yoshida Y, Peumans M. Từ kỹ thuật etch acid tiên phong của Buonocore đến vật liệu phục hồi tự dán: góc nhìn về sự phát triển nhanh chóng của công nghệ chất dán nha khoa. J Adhes Dent. 2020;22(1):7-34. doi:10.3290/j.jad.a43994
Perdigão J. Quan điểm hiện tại về dán dính nha khoa: (1) dán dính ngà — vẫn chưa đạt đến mức tối ưu. Jpn Dent Sci Rev. 2020;56(1):190-207. doi:10.1016/j.jdsr.2020.08.004
Oliveira SS, Pugach MK, Hilton JF, Watanabe LG, Marshall SJ, Marshall GW Jr. Ảnh hưởng của smear layer lên khả năng dán dính: so sánh primer tự etch và hệ thống total-etch. Dent Mater. 2003;19(8):758-767. doi:10.1016/S0109-5641(03)00023-X
Saikaew P, Sattabanasuk V, Harnirattisai C, Almas Chowdhury AFM, Carvalho R, Sano H. Vai trò của smear layer trong nha khoa dán dính và ứng dụng lâm sàng nhằm cải thiện hiệu quả bonding. Jpn Dent Sci Rev. 2022;58:59-66. doi:10.1016/j.jdsr.2021.12.001
Almeida G, Marques JA, Van Meerbeek B, Ramos JC, Falacho RI. Air abrasion như một phương pháp xử lý bề mặt ngà trước bonding: tổng quan phạm vi. J Esthet Restor Dent. 2024;36(5):746-760. doi:10.1111/jerd.13183
Dhanpal P, Yiu CKY, King NM, Tay FR, Hiraishi N. Ảnh hưởng của nhiệt độ đến khả năng hấp thu nước và độ hòa tan của resin dán nha khoa. J Dent. 2009;37(2):122-132. doi:10.1016/j.jdent.2008.10.004
Delgado AHS, Ahmed MH, Nunes Ferreira M, Mano Azul A, Polido M, Yoshihara K, Van Meerbeek B. Tính chất lý – hóa và hiệu suất của các monomer chức năng trong công nghệ adhesive nha khoa hiện đại. J Adhes Dent. 2025;27:175-193. doi:10.3290/j.jad.c_2297
De Munck J, Mine A, Poitevin A, Van Ende A, Cardoso MV, Van Landuyt KL, Peumans M, Van Meerbeek B. Tổng quan phân tích gộp về các yếu tố liên quan đến bonding ngà. J Dent Res. 2012;91(4):351-357. doi:10.1177/0022034511431251
de Paris Matos T, Perdigão J, de Paula E, Coppla F, Hass V, Scheffer RF, Reis A, Loguercio AD. Đánh giá lâm sàng 5 năm của adhesive universal: thử nghiệm ngẫu nhiên mù đôi. Dent Mater. 2020;36(11):1474-1485. doi:10.1016/j.dental.2020.08.007
Hashimoto M, Ohno H, Endo K, Kaga M, Sano H, Oguchi H. Ảnh hưởng của độ dày lớp hybrid đến độ bền liên kết: vùng ngà khử khoáng trong lớp hybrid. Dent Mater. 2000;16(6):406-411. doi:10.1016/S0109-5641(00)00035-X
Tsujimoto A, Shimatani Y, Nojiri K, Barkmeier WW, Markham MD, Takamizawa T, Latta MA, Miyazaki M. Ảnh hưởng của độ ẩm bề mặt đến hiệu quả bonding của adhesive universal ở chế độ etch-and-rinse. Eur J Oral Sci. 2019;127(2):162-169. doi:10.1111/eos.12596
Nonato RF, Moreira PHA, Silva DOD, Ferreira MWC, Reis A, Cardenas AFM, Loguercio AD, Siqueira FSF. Đánh giá dài hạn hiệu quả bonding của adhesive universal dựa trên mức độ ẩm ngà khác nhau. J Adhes Dent. 2022;24:395-406. doi:10.3290/j.jad.b3559027
Carvalho GLM, Moreira PM, Carneiro BT, Suzuki TYU, Lanza MDS, Alvim HH, Giannini M, Andre CB. Ảnh hưởng của kỹ thuật bôi chủ động so với thụ động đến độ bền liên kết với ngà và men: tổng quan hệ thống và phân tích gộp. Jpn Dent Sci Rev. 2025;61:90-102. doi:10.1016/j.jdsr.2025.04.001
Loguercio AD, Raffo J, Bassani F, Balestrini H, Santo D, do Amaral RC, Reis A. Đánh giá lâm sàng 24 tháng tổn thương cổ răng không sâu với adhesive etch-and-rinse hai bước áp dụng bằng kỹ thuật chà xát. Clin Oral Investig. 2011;15(4):589-596. doi:10.1007/s00784-010-0408-8
Luque-Martinez IV, Perdigão J, Muñoz MA, Sezinando A, Reis A, Loguercio AD. Ảnh hưởng của thời gian bay hơi dung môi đến tính chất dán dính tức thì của adhesive universal lên ngà. Dent Mater. 2014;30(10):1126-1135. doi:10.1016/j.dental.2014.07.002
Tang C, Mercelis B, Yoshihara K, Peumans M, Van Meerbeek B. Độ dày màng adhesive của hệ universal có ảnh hưởng đến hiệu quả bonding ngà không? Clin Oral Investig. 2024;28(2):150. doi:10.1007/s00784-024-05523-7
Van Meerbeek B, Willems G, Celis JP, Roos JR, Braem M, Lambrechts P, Vanherle G. Đánh giá độ cứng và tính đàn hồi vùng liên kết resin-ngà bằng nano-indentation. J Dent Res. 1993;72(10):1434-1442. doi:10.1177/00220345930720101401
Shawkat ES, Shortall AC, Addison O, Palin WM. Hiện tượng ức chế oxy và độ bền liên kết giữa các lớp composite đặt từng lớp. Dent Mater. 2009;25(11):1338-1346. doi:10.1016/j.dental.2009.06.003
Ahmed MH, Yao C, Van Landuyt K, Peumans M, Van Meerbeek B. Lớp bonding bổ sung giúp bù đắp độ dày màng mỏng của adhesive universal. J Adhes Dent. 2020;22(5):483-501. doi:10.3290/j.jad.a45179
Fujiwara S, Takamizawa T, Barkmeier WW, Tsujimoto A, Imai A, Watanabe H, Erickson RL, Latta MA, Nakatsuka T, Miyazaki M. Ảnh hưởng của việc bôi hai lớp đến chất lượng liên kết của hệ thống adhesive. J Mech Behav Biomed Mater. 2018;77:501-509. doi:10.1016/j.jmbbm.2017.10.008
Montes MA, de Goes MF, da Cunha MR, Soares AB. Đánh giá hình thái và độ bền kéo của adhesive không chứa filler khi kết hợp composite độ nhớt thấp và adhesive có filler với 1 và 2 lớp. J Dent. 2001;29(6):435-441. doi:10.1016/S0300-5712(01)00037-9
Tay FR, Pashley DH, Suh BI, Carvalho RM, Itthagarun A. Adhesive một bước hoạt động như màng thấm. J Dent. 2002;30(7-8):371-382. doi:10.1016/S0300-5712(02)00064-7
Montagner AF, Sarkis-Onofre R, Pereira-Cenci T, Cenci MS. Chất ức chế MMP và độ ổn định ngà: tổng quan hệ thống và phân tích gộp. J Dent Res. 2014;93(8):733-743. doi:10.1177/0022034514538046
Bạn có thể tham khảo thêm các loại vật liệu trám răng
Composite trám răng
Etching trám răng
Bond trám răng
Đèn trám răng
Đánh bóng composite trám răng