Gãy răng trước là một tai nạn khá phổ biến ở trẻ em. Tuy nhiên, trước khi sự phát triển của xương hàm hoàn tất, việc sử dụng mão sứ không được khuyến khích. Thay vào đó, phương pháp điều trị ưu tiên là phục hồi trực tiếp bằng composite kết hợp với chốt kim loại gia cố ống tủy
Chốt kim loại Unimetric là một loại chốt nội tủy được làm từ titan hoặc hợp kim kim loại, dùng để gia cố và hỗ trợ phục hồi răng sau khi điều trị tủy. Đây là sản phẩm của hãng Dentsply, có thiết kế đồng nhất (unimetric) giúp tối ưu hóa sự tương thích với ống tủy và tăng độ bền cho phục hồi.
Đặc điểm của chốt Unimetric:
Chất liệu: Titan hoặc hợp kim kim loại, có độ bền cao và khả năng tương thích sinh học tốt.
Thiết kế đồng nhất: Giúp chốt bám chắc hơn trong ống tủy, giảm nguy cơ gãy hoặc lỏng lẻo theo thời gian.
Hỗ trợ phục hồi răng: Thường được sử dụng trong các trường hợp răng yếu, mất nhiều mô răng sau khi lấy tủy.
Dùng với xi măng gắn: Thường được cố định bằng xi măng gắn glass ionomer (Fuji I, GC Corporation, Nhật Bản) để đảm bảo độ bám dính chắc chắn.
Phục hồi răng gãy lớn: Hỗ trợ làm trụ cho phục hồi bằng composite hoặc mão sứ.
Răng điều trị tủy: Gia cố răng sau khi lấy tủy để tránh gãy vỡ.
Chốt kim loại Unimetric là lựa chọn phổ biến trong nha khoa phục hồi, giúp tăng tuổi thọ của răng đã điều trị tủy và cải thiện chức năng ăn nhai lâu dài.
Tai nạn gãy thân răng ở trẻ em
Gãy răng trước là một tai nạn khá phổ biến ở trẻ em. Tuy nhiên, trước khi sự phát triển của xương hàm hoàn tất, việc sử dụng mão sứ không được khuyến khích. Thay vào đó, phương pháp điều trị ưu tiên là phục hồi trực tiếp bằng composite. Bài báo này trình bày quy trình tái tạo hai răng cửa giữa trên bị gãy nghiêm trọng. Mão composite được chế tác trực tiếp trên răng. Một trong hai răng đã được điều trị tủy và gắn trụ, sau đó phần lõi composite được tạo dựng xung quanh trụ. Mão acetate được đổ đầy composite, điều chỉnh theo đường viền răng và quang trùng hợp trước khi tháo ra để tái tạo hình dạng giải phẫu. Sau 8 năm theo dõi, phục hồi vẫn đảm bảo tính thẩm mỹ và chức năng.
Chấn thương răng là một hiện tượng phổ biến ở trẻ em, ảnh hưởng đến khoảng 13% trẻ dưới 12 tuổi, trong đó 70% là gãy thân răng cửa trên mà không ảnh hưởng đến chân răng. Khi lựa chọn phương pháp điều trị, cần cân nhắc một số yếu tố quan trọng như sự phát triển chưa hoàn thiện của xương hàm, buồng tủy lớn, răng chưa mọc hoàn chỉnh và nguy cơ tổn thương tủy do mài răng. Do đó, mão sứ chỉ nên được xem xét khi quá trình phát triển của răng và xương hàm đã hoàn tất.
Trong trường hợp vỡ lớn, nếu mảnh răng gãy vẫn còn, kỹ thuật ghép mảnh răng theo phương pháp “sandwich” có thể được sử dụng. Tuy nhiên, tỷ lệ tồn tại của mảnh răng ghép thấp sau 2 năm. Nếu không thể thu hồi mảnh răng gãy hoặc không phù hợp để gắn lại, phục hồi bằng composite là lựa chọn khả thi hơn. Dù composite có thể suy giảm tính thẩm mỹ theo thời gian, nhưng về lâu dài, chúng có độ bền tốt hơn.
Báo cáo case lâm sàng
Bệnh nhân 10 tuổi đến khám do chấn thương gây gãy góc gần giữa của răng cửa giữa trái hàm trên, ảnh hưởng đến men và ngà răng, đồng thời răng cửa giữa phải bị gãy ngang, lộ tủy. Khám lâm sàng và chụp X-quang không phát hiện gãy chân răng. Vì các mảnh răng bị mất không thể phục hồi và xét đến độ tuổi của bệnh nhân, chúng tôi quyết định phục hồi bằng composite.

Hình 1. Hình ảnh răng cửa giữa hàm trên trước phẫu thuật ở bé trai 10 tuổi.

Hình 2. Nhìn từ mặt cắn. Tổn thương tủy do gãy răng rõ ràng ở răng cửa giữa hàm trên bên phải.
Sau khi gây tê, vùng điều trị được cách ly bằng banh miệng, cuộn bông và băng che lưỡi để giảm độ ẩm. Đập cao su không được sử dụng để đảm bảo tiếp cận tốt hơn với vùng nướu. Màu răng được xác định bằng cách thử nghiệm nhiều màu composite trên các vùng nướu, giữa và cạnh cắn. Các màu được chọn là A3 cho phần cổ răng và A2 cho phần giữa và cạnh cắn (Herculite XRV, Kerr Corporation, USA).

Hình 3. Phục hồi răng cửa giữa hàm trên bên trái. Mão acetate trong suốt được sử dụng làm khuôn.
Bề mặt răng được làm sạch bằng bột bọt đá và tạo vát rộng để tăng diện tích bám dính và cải thiện tính thẩm mỹ. Mão acetate (Frasaco, Đức) được lựa chọn để tái tạo hình dạng ban đầu của răng và được điều chỉnh theo mô răng còn lại. Men và ngà răng được xoi mòn bằng axit orthophosphoric 35% trong 20 giây, sau đó rửa sạch và giữ bề mặt hơi ẩm. Keo dán một thành phần (Prime & Bond 2.1, Dentsply, Đức) được bôi theo hướng dẫn của nhà sản xuất.
Composite được bơm vào trong mão acetate bằng súng bơm, cẩn thận tránh bọt khí, đặc biệt là ở các góc cạnh. Các vùng giữa và cạnh cắn được đổ composite A2 trước, tiếp theo là A3 ở phần cổ răng để tạo hiệu ứng chuyển màu tự nhiên. Sau khi mão acetate được đặt lên răng và kiểm tra vị trí, phần composite dư thừa được loại bỏ, tiếp theo là quang trùng hợp từ cả hai phía. Sau đó, mão acetate được tháo ra bằng đầu dò.
Bề mặt phục hồi được đánh bóng để tạo độ liên tục với mô răng, tránh hình thành các gờ cạnh có thể gây tích tụ mảng bám. Để hoàn thiện, mũi khoan carbide nhiều lưỡi cắt được sử dụng, cùng với đĩa đánh bóng Sof-Lex (3M ESPE, USA) để tạo độ nhẵn và bóng.
Điều trị răng cửa giữa phải
Răng cửa giữa phải được điều trị tủy, sau đó trong lần hẹn tiếp theo, trụ titan đúc sẵn (Unimetric, Dentsply, Thụy Sĩ) được gắn bằng xi măng ionomer thủy tinh (Fuji I, GC, Nhật Bản). Trụ phải chiếm 2/3 chiều dài chân răng, để lại 3-5 mm gutta-percha ở vùng chóp.

Hình 4. Chốt Unimetric® (Dentsply) được gắn vào răng cửa giữa hàm trên bên phải bằng xi măng glass ionomer. Vòng khuôn Automatrix® (Dentsply) bao quanh răng được sử dụng để tạo lõi composite.

Hình 5. Lõi composite đục, trên đó sẽ thực hiện phục hồi trực tiếp.

Hình 6. Mão acetate cellulose được lấp đầy bằng composite và đặt vào vị trí, phần composite dư thừa được loại bỏ trước khi quang trùng hợp cuối cùng.

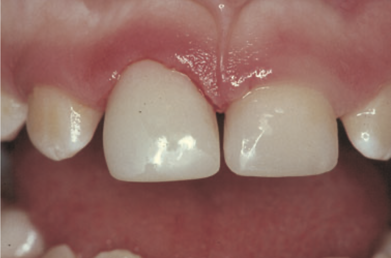
Hình 7. Hoàn tất phục hồi cả hai răng cửa giữa hàm trên.

Hình 8. Nhìn từ mặt trong của cả hai phục hồi. Có thể thấy chốt được tích hợp.

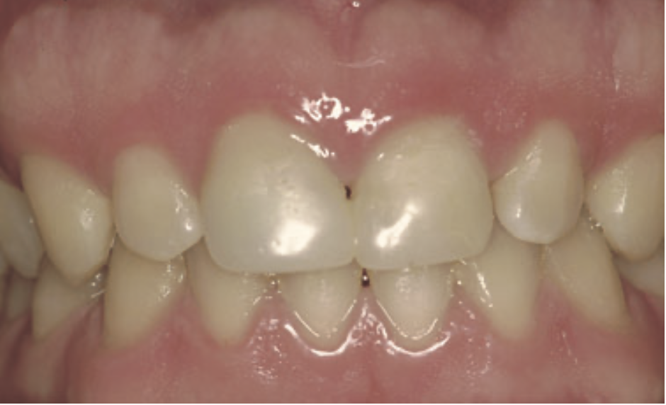
Hình 9. Tổng quan về phục hồi ngay sau khi hoàn tất điều trị.

Hình 10. Kiểm tra sau một năm. Quan sát thấy viêm nướu nhẹ ở nhú nướu giữa hai răng cửa giữa. Nguyên nhân do khiếm khuyết trong đánh bóng và đã được khắc phục bằng dải đánh bóng.

Hình 11. Quan sát thấy sự mòn dần của composite cùng với hiện tượng nhiễm màu tại vùng tiếp giáp giữa composite và răng. Trên răng 12, có lỗ mở để thực hiện điều trị tủy.

Hình 12. Hình ảnh theo dõi gần nhất sau tám năm, phục hồi vẫn duy trì hình dạng bình thường và chức năng tốt.
Do vị trí gãy gần nướu, quá trình phục hồi diễn ra hai bước: đầu tiên, đặt một vòng khuôn AutoMatrix (Dentsply Detrey, Đức) để tạo lõi composite đục, sau đó loại bỏ khuôn và tạo vát rộng giữa composite và men răng còn lại. Sau khi xoi mòn và bôi keo dán lần nữa, mão acetate được điều chỉnh phù hợp với viền nướu và cạnh cắn. Composite dư thừa được loại bỏ qua lỗ thoát trên mặt trong và mặt nướu của mão acetate.
Vài ngày sau, bệnh nhân được kiểm tra lại để đánh giá tình trạng nướu và chỉnh sửa các khiếm khuyết nhỏ về thẩm mỹ và đánh bóng. Một năm sau, phục hồi vẫn trong tình trạng tốt, dù có một chút viêm nướu nhẹ ở nhú nướu giữa hai răng cửa do một phần composite không nhẵn. Đánh bóng bổ sung đã được thực hiện để cải thiện bề mặt.
Trong lần tái khám hàng năm, không có thay đổi đáng kể nào được ghi nhận.
Thảo luận
Dù phục hồi composite ban đầu chỉ được coi là giải pháp tạm thời chờ xương hàm phát triển hoàn chỉnh, kết quả theo dõi dài hạn cho thấy phương pháp này có thể tồn tại lâu dài nếu được lựa chọn và thực hiện đúng cách.
Kỹ thuật gắn lại mảnh răng gãy theo phương pháp “sandwich” có thể cho kết quả thẩm mỹ tốt nhưng gặp nhiều khó khăn như quá trình đúc ngà phức tạp và khó khớp chính xác mảnh gãy, đặc biệt ở vùng kẽ răng. Một số nghiên cứu cho thấy phương pháp này có tuổi thọ kém hơn so với phục hồi composite.
Mão sứ có ưu thế hơn về thẩm mỹ và độ bền cơ học, nhưng không phù hợp với trẻ em do hệ thống nha chu và răng chưa trưởng thành. Ngược lại, mão composite có thể dễ dàng sửa chữa, tái tạo hoặc thay thế với chi phí thấp hơn, mà không loại trừ khả năng sử dụng mão sứ trong tương lai.
Phương pháp này có thể được cải thiện hơn nữa nếu có nhiều kích cỡ và hình dạng mão acetate hơn để lựa chọn.
Các bạn vui lòng tham khảo thêm các loại vật liệu điều trị nội nha sau đây
Chốt kim loại Unimetric gia cố ống tủy
Cone ốp ống tủy
Trâm nội nha
Dung dịch bơm rửa ống tủy
Các loại MTA trám bít ống tủy
Các loại chốt ống tủy
Các dụng cụ hỗ trợ điều trị nội nha
Thiết bị điều trị nội nha
Các vật liệu hỗ trợ điều trị nội nha