Sự phát triển và mọc răng của trẻ đóng vai trò quan trọng trong chức năng ăn nhai, thẩm mỹ và sức khỏe răng miệng lâu dài. Việc phát hiện sớm các bất thường giúp can thiệp kịp thời, hạn chế hậu quả nghiêm trọng. Bài viết này sẽ tổng hợp các vấn đề phổ biến trong chỉnh nha nhi khoa, nguyên nhân và phương pháp điều trị tối ưu.
Những vấn đề chỉnh nha – nhi khoa thường gặp và phương pháp điều trị hiệu quả
Bài viết này sẽ cung cấp cái nhìn toàn diện về các vấn đề chỉnh nha nhi khoa phổ biến, nguyên nhân và hướng điều trị tối ưu, giúp cha mẹ và bác sĩ nha khoa có cách tiếp cận đúng đắn trong việc chăm sóc răng miệng cho trẻ.
Cắn chéo (Crossbite) - nguy cơ tiềm ẩn và hướng điều trị
Cắn chéo (crossbite) là tình trạng khi một hoặc nhiều răng hàm trên cắn vào bên trong răng hàm dưới thay vì phủ bên ngoài như bình thường. Cắn chéo có thể xảy ra ở nhóm răng trước (anterior crossbite) hoặc nhóm răng sau (posterior crossbite).
Hậu quả của cắn chéo nếu không điều trị
- Gây tổn thương mô nha chu: Cắn chéo có thể làm răng bị nghiêng vào phía trong hoặc phía ngoài, dẫn đến tụt nướu, lộ chân răng và làm mất mô nha chu theo thời gian.
- Ảnh hưởng sự phát triển xương hàm: Khi trẻ nhai, lực cắn không được phân bố đều, có thể làm xương hàm phát triển bất cân xứng, dẫn đến lệch mặt.
- Gây rối loạn khớp thái dương hàm: Sự sai lệch trong khớp cắn có thể làm tăng nguy cơ đau khớp thái dương hàm, mỏi cơ hàm và khó khăn khi ăn nhai.
Nguyên nhân gây cắn chéo
- Yếu tố di truyền: Cấu trúc xương hàm bất thường có thể di truyền từ cha mẹ sang con.
- Thói quen xấu: Mút tay, đẩy lưỡi, thở miệng kéo dài có thể gây ra cắn chéo.
- Răng mọc sai vị trí: Răng vĩnh viễn có thể bị lệch hướng do mất răng sữa sớm hoặc do thiếu chỗ trên cung hàm.
Điều trị cắn chéo
- Giai đoạn răng hỗn hợp (khoảng 6 - 12 tuổi):
- Dùng khí cụ tháo lắp hoặc Quad Helix để điều chỉnh răng.
- Nong rộng cung hàm trên bằng khí cụ cố định nếu cắn chéo do hàm hẹp.
- Giai đoạn răng vĩnh viễn (trên 12 tuổi):
- Sử dụng mắc cài kết hợp dây cung để điều chỉnh răng về đúng vị trí.
- Nếu xương hàm lệch nặng, có thể cần phẫu thuật chỉnh hàm kết hợp với chỉnh nha.

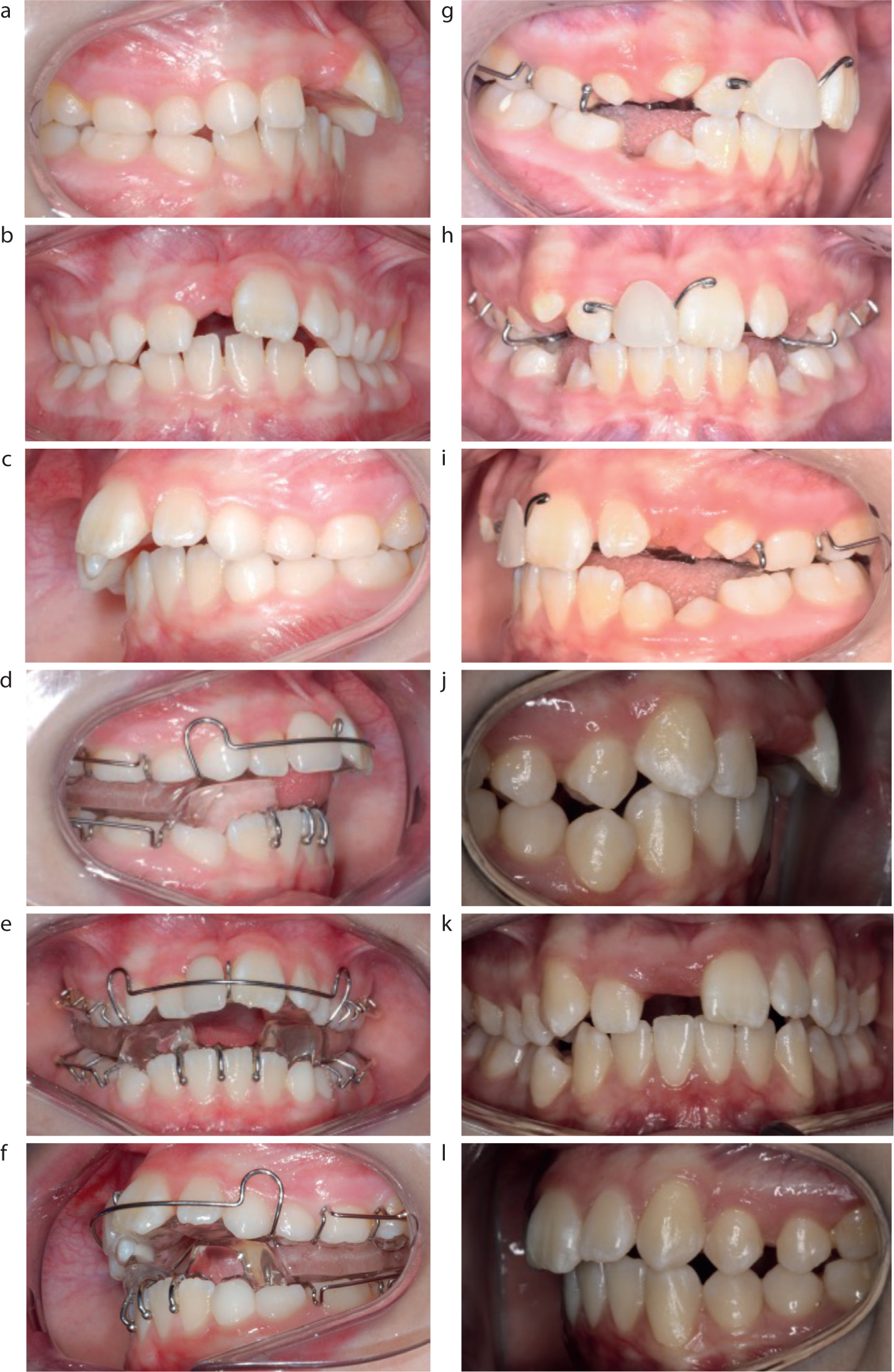
Hình 1: (a–f) Điều trị sớm sai khớp cắn loại II, tiểu loại 1 bằng khí cụ chức năng. Trong trường hợp này, phương pháp điều trị sớm được lựa chọn do nguy cơ chấn thương gia tăng (bệnh nhân đã gặp nhiều tai nạn dẫn đến răng UR1 bị bật hoàn toàn). (g–l) Mặc dù đã có sự điều chỉnh thành công ban đầu đối với tình trạng chìa răng cửa (overjet), nhưng vẫn xảy ra tái phát đáng kể trong khi chờ các răng vĩnh viễn mọc hoàn chỉnh.Răng cửa giữa không mọc – nhận diện sớm và giải pháp

Hình 2. (a–f) Điều trị sai khớp cắn với khí cụ chức năng theo thời điểm truyền thống để giảm tình trạng chìa răng cửa (overjet) quá mức. Bệnh nhân được điều trị trong giai đoạn tăng trưởng dậy thì, sau khi đủ số lượng răng vĩnh viễn đã mọc. (d–f) Sử dụng khí cụ Twin Block. (g–i) Gắn mắc cài cố định để sắp xếp răng và hoàn thiện khớp cắn sau khi đã giảm thành công overjet bằng Twin Block. (j–l) Kết quả cuối cùng sau khi tháo mắc cài.

Hình 3. Điều trị can thiệp sớm sai khớp cắn loại III. (a–c) Tương quan răng cửa loại III và cắn chéo phía sau bên trái. Tụt nướu nghiêm trọng ảnh hưởng đến răng cửa dưới phải (LR1). Sâu răng được ghi nhận trên răng nanh sữa hàm trên phải (URC). (d–f) Sử dụng khí cụ UFA để đồng thời điều chỉnh cắn chéo phía trước và bên. (g–i) Chờ các răng vĩnh viễn còn lại mọc hoàn chỉnh trước khi bước vào giai đoạn II của điều trị để giải quyết vấn đề chen chúc. Sau khi điều chỉnh thành công cắn chéo trước, tình trạng tụt nướu ở LR1 đã có phần cải thiện.
.jpg)
Hình 4. Điều trị can thiệp sớm sai khớp cắn loại III. (a–c) Bệnh nhân trong giai đoạn răng hỗn hợp, có cắn sâu tăng và khả năng cắn chạm mép răng (edge-to-edge). (d–f) Điều trị can thiệp sai khớp cắn loại III bằng khí cụ tháo lắp URA có lò xo Z để nghiêng ra trước các răng cửa giữa hàm trên, kết hợp với mặt phẳng cắn sau để giảm sự cản trở khớp cắn. (g–i) Việc điều chỉnh cắn chéo phía trước được duy trì tự nhiên nhờ vào cắn phủ dương (positive overbite). Tiếp tục theo dõi quá trình mọc răng vĩnh viễn trước khi đánh giá nhu cầu điều trị chỉnh nha toàn diện trong giai đoạn tiếp theo.
Răng cửa giữa không mọc – nhận diện sớm và giải pháp
Trong quá trình thay răng, nếu răng cửa giữa vĩnh viễn mọc chậm hơn 6 tháng so với răng đối xứng hoặc muộn hơn 1 năm so với răng cửa dưới, cần kiểm tra ngay để xác định nguyên nhân và lên kế hoạch điều trị.
Nguyên nhân răng cửa không mọc
- Răng dư (supernumerary teeth): Đây là nguyên nhân phổ biến nhất (chiếm 42% trường hợp), gây cản trở răng cửa mọc.
- Mất răng sữa quá sớm: Khi răng sữa mất sớm, các răng bên cạnh có thể di chuyển vào khoảng trống, làm răng cửa vĩnh viễn bị kẹt.
- Chấn thương răng sữa: Nếu răng sữa bị chấn thương nặng, mầm răng cửa vĩnh viễn có thể bị tổn thương, khiến răng mọc chậm hoặc không mọc.
Phương pháp điều trị
- Trẻ dưới 9 tuổi: Nếu có răng dư cản trở, cần loại bỏ răng dư và theo dõi xem răng cửa có tự mọc hay không.
- Trẻ trên 9 tuổi: Nếu răng bị kẹt, có thể cần phẫu thuật bộc lộ răng và sử dụng dây kéo (gold chain) để hỗ trợ chỉnh nha.

Hình 5. (a–e) Răng cửa giữa hàm trên bên phải (UR1) và bên trái (UL1) bị mọc kẹt nghiêm trọng do sự hiện diện của hai răng dư chưa mọc. (f–h) Tiến hành nhổ bỏ các răng sữa gồm răng nanh sữa hàm trên bên phải (URC), răng cửa bên sữa hàm trên bên phải (URA), răng cửa bên sữa hàm trên bên trái (ULA), răng nanh sữa hàm trên bên trái (ULC) cùng hai răng dư chưa mọc. Sau đó, áp dụng kỹ thuật kéo chỉnh nha bằng dây xích vàng (gold chain) gắn vào UR1 và UL1, đồng thời sử dụng cơ chế piggyback để hỗ trợ neo chặn theo chiều dọc trong quá trình kéo răng. (i–m) Kết quả khớp cắn sau khi tháo mắc cài.
Răng nanh mọc lệch trong – nguy cơ tiêu chân răng cửa bên
Răng nanh hàm trên là răng vĩnh viễn dễ bị mọc lệch nhất sau răng khôn. Nếu không phát hiện sớm, răng nanh mọc lệch trong có thể gây tiêu chân răng cửa bên, làm mất răng vĩnh viễn.
Nguyên nhân răng nanh mọc lệch
- Di truyền: Hướng mọc của răng nanh có thể bị ảnh hưởng bởi yếu tố di truyền.
- Thiếu không gian trên cung hàm: Răng nanh có xu hướng mọc sau cùng, nếu không đủ chỗ, răng nanh có thể bị kẹt trong xương.
Hướng điều trị
- Trẻ dưới 13 tuổi: Nhổ răng nanh sữa sớm để tạo khoảng trống, răng nanh có thể tự mọc đúng hướng.
- Trẻ lớn hơn hoặc răng lệch nặng: Cần phẫu thuật bộc lộ răng nanh và dùng mắc cài chỉnh nha để kéo răng về đúng vị trí.

Hình 6. (a–c) Bệnh nhân 11 tuổi có răng nanh vĩnh viễn hàm trên mọc lệch vào trong khẩu cái. Cụ thể, răng nanh hàm trên bên phải (UR3) nằm ở vùng 3, còn răng nanh hàm trên bên trái (UL3) nằm ở vùng 2. (d–f) Sau khi can thiệp sớm bằng khí cụ cố định hàm trên để phân bố lại khoảng trống trên cung hàm, vị trí của các răng nanh đã có sự cải thiện tự nhiên theo hướng gần giữa. (f) Hiện tại, UR3 và UL3 đã di chuyển vào vùng 1 và đang ở giai đoạn gần mọc lên.
Rối loạn men và ngà răng – ảnh hưởng đến chỉnh nha
Các dạng rối loạn men và ngà răng
- Amelogenesis Imperfecta (AI): Men răng mỏng, dễ bong tróc.
- Dentinogenesis Imperfecta (DI): Răng có màu xanh xám, chân răng nhỏ, dễ tiêu chân.
- Fluorosis: Men răng nhiễm fluor quá mức, có màu trắng đục hoặc nâu đậm.
Điều trị chỉnh nha cho bệnh nhân có răng yếu
- Sử dụng keo dán chuyên dụng (RMGIC hoặc keo tự etch) để giảm bong mắc cài.
- Giảm lực chỉnh nha để tránh tiêu chân răng.
- Ưu tiên niềng răng trong suốt (Invisalign) để giảm số lần bong mắc cài.

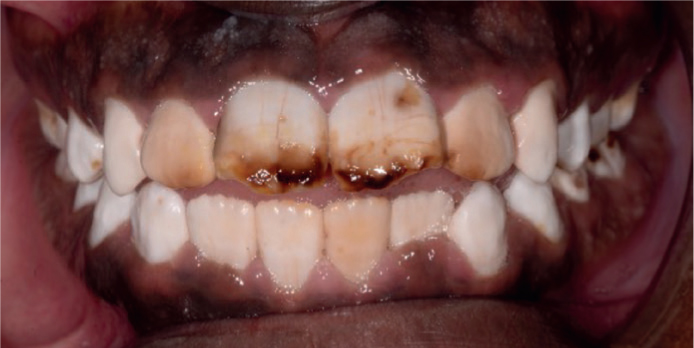
Hình 7. Hình ảnh răng nhiễm fluor, cho thấy tình trạng giảm khoáng hóa men răng lan tỏa, dẫn đến sự đổi màu nâu và bong tróc men răng sau khi răng mọc.
Kết luận
Việc phát hiện sớm và can thiệp kịp thời trong chỉnh nha nhi khoa giúp cải thiện kết quả điều trị, hạn chế can thiệp phẫu thuật sau này. Cha mẹ và nha sĩ cần theo dõi sát sao sự phát triển răng miệng của trẻ để có kế hoạch điều trị phù hợp.
Bạn có thể tham khảo thêm các loại vật liệu hỗ trợ điều trị chỉnh nha sau đây
Mắc cài chỉnh nha
Dây cung chỉnh nha
Thun chỉnh nha
Keo dán mắc cài
Lò xo chỉnh nha
Nút hook chỉnh nha
Minivis chỉnh nha
Dụng cụ chỉnh nha
Các loại vật liệu hổ trợ chỉnh nha
Sáp giảm đau chỉnh nha
Chỉnh nha không mắc cài
Khay chỉnh nha T4k cho trẻ em
Vật liệu chăm sóc răng miệng
Gel Flour điều trị sâu răng trẻ em
Tài liệu được copy và dịch lại từ link: https://www.dental-update.co.uk/content/orthodontics-and-paediatric-dentistry/the-orthodontic-paediatric-interface-part-2
Trong quá trình dịch có 1 số thuật ngữ chúng tôi dùng có thể sai, rất mong các bạn đọc và cho xin ý kiến để sửa lại, xin chân thành cảm ơn