Một trong những thách thức thẩm mỹ lớn nhất trong nha khoa là việc phục hình răng cửa. Mất răng cửa dẫn đến các khoảng trống không đẹp trong nụ cười, đặc biệt là khi ảnh hưởng đến những giao tiếp trong xã hội hàng ngày. Vấn đề này không chỉ tác động đến vẻ bề ngoài của bệnh nhân mà còn có thể có ảnh hưởng sâu sắc về mặt tâm lý, làm giảm sự tự tin và ảnh hưởng đến các mối quan hệ xã hội.
Trường hợp lâm sàng phối hợp cùng Dr. Daniele Rondoni (DT)
Các tiến bộ gần đây trong công nghệ nha khoa đã cung cấp những giải pháp sáng tạo cho các vấn đề phức tạp trong điều trị hàng ngày của bác sĩ nha khoa . Việc tích hợp cấy ghép răng và mặt dán thẩm mỹ đã cách mạng hóa phương pháp phục hồi cả chức năng lẫn thẩm mỹ sau những ca nhổ răng như vậy. Cấy ghép răng cung cấp nền tảng ổn định và bền vững, trong khi mặt dán thẩm mỹ đảm bảo vẻ ngoài tự nhiên và hài hòa, kết hợp một cách liền mạch với những chiếc răng còn lại.
Trong bài viết này, chúng tôi sẽ trình bày một trường hợp nhổ răng cửa cấy implant kết hợp veneer vùng thẩm mỹ. Chúng tôi cũng sẽ đi sâu vào những tiến bộ mới nhất trong công nghệ nha khoa, tập trung vào cách cấy ghép răng và mặt dán thẩm mỹ được sử dụng để phục hồi thẩm mỹ và chức năng, nhằm làm nổi bật tiềm năng chuyển mình của những công nghệ này trong việc giải quyết một trong những vấn đề thẩm mỹ khó khăn nhất của nha khoa.
Hình 1
Một bệnh nhân đến phòng khám của chúng tôi với cảm giác khó chịu ở răng cửa trên bên phải (răng 11) đã được điều trị cách đây 20 năm.
Sau khi kiểm tra lâm sàng và chụp X-quang (tiêu ngọn ngoài), kế hoạch điều trị là nhổ răng, cấy ghép ngay lập tức và sử dụng mão răng đã nhổ làm phục hồi tạm thời. Tình huống đã được giải thích cho bệnh nhân và bệnh nhân đồng ý với kế hoạch điều trị.
Thách thức trong những trường hợp như vậy là việc phục hồi thành công răng 11. Để đạt được kết quả thẩm mỹ tối ưu, chúng tôi đã quyết định thực hiện phương pháp "cấy ghép phủ veneer" và đặt veneer lên răng cửa trên bên trái (răng 21).

Hình 2
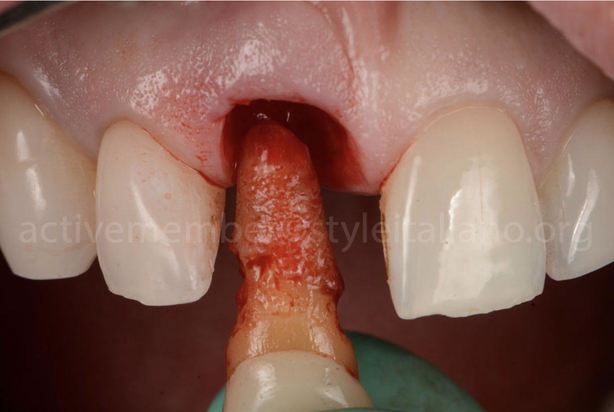
Vào cùng ngày thực hiện ca cấy ghép, răng được nhổ một cách cẩn thận để tránh làm gãy bất kỳ phần nào của xương ổ răng.
Tiêu ngọn ngoài rõ ràng được nhìn thấy giữa phần cổ và giữa của rễ răng.

Hình 3
Một hình ảnh bên của chiếc răng đã nhổ cho thấy tiêu chân răng từ một góc nhìn khác.
.png)
Hình 4
Sau khi nhổ răng và loại bỏ mô viêm, ổ răng đã sẵn sàng để chuẩn bị cấy ghép ngay lập tức.

Hình 5
Hình ảnh của cấy ghép và thực hành phục hình tức thì
Để ngăn ngừa mất xương mặt ngoài và tránh lõm nướu phía trước, kỹ thuật bảo tồn ổ răng mặt ngoài đã được áp dụng.

Hình 6
Để bảo tồn xương mặt ngoài của ổ răng, một mảnh rễ được đặt giữa cấy ghép và xương. Kỹ thuật này ngăn ngừa lõm nướu phía trước sau khi xương được tái tạo.

Hình 7
Hình ảnh của cấy ghép, với mảnh rễ đã được đặt vào vị trí, nhằm bảo tồn ổ răng mặt ngoài.

Hình 8
Mão răng của chiếc răng đã nhổ được sử dụng làm phục hồi tạm thời lâu dài sau khi đặt trụ tạm thời. Mão răng này được gắn chặt vào các răng bên cạnh với tải lực khớp cắn tối thiểu.

Hình 9
Phục hồi tạm thời được gắn vào các răng bên cạnh ở phía khẩu cái bằng dây chỉnh nha để giữ ổn định.
Bệnh nhân sẽ được tái khám sau ba tháng.

Hình 10
Bệnh nhân được tái khám sau ba tháng để đánh giá và chuẩn bị phục hồi tạm thời.
Mão răng cũ được chỉnh sửa lại trên trụ tạm thời, đặt hơi thấp hơn mức nướu, với vùng cổ răng dày. Phương pháp này giúp hướng nướu di chuyển và đạt đến mức phục hồi tạm thời, thiết lập giới hạn cho mão răng cuối cùng trong tương lai.
Bệnh nhân sẽ được tái khám sau bốn tuần.

Hình 11
Sau một tháng, bệnh nhân được tái khám và nướu đã đạt đến mức phục hồi tạm thời như dự đoán. Vào thời điểm này, một mẫu hàm được lấy để chuẩn bị mão răng zirconia ở phục hình trên implant

Hình 12
Sau một tháng, nướu đã lành và di chuyển về phía cổ răng, theo đúng hình dạng tạm thời.
Ở bước này, một mẫu số được lấy bằng máy scan trong miệng để chế tạo mão răng trên cấy ghép.

Hình 13
Sau vài ngày, một mão răng zirconia đã được chế tạo và thử lắp để đảm bảo độ vừa khít phù hợp. Lưu ý rằng zirconia được chuẩn bị với ý định dán veneer lên trên.
Phục hồi một chiếc răng cửa đơn lẻ là một thách thức khá lớn. Để đạt được kết quả thẩm mỹ thành công, quyết định được đưa ra là đặt hai veneer lithium disilicate lên răng 21 và lõi của răng 11.

Hình 14
Từ góc nhìn khớp cắn, chúng ta có thể thấy lỗ trên mão răng để vặn nó vào implant. Lưu ý khoảng trống được để lại cho veneer mặt ngoài. Răng số 21 sẽ được chuẩn bị tối thiểu để tạo khoảng trống cho veneer.

Hình 15
Hình ảnh từ phía ngoài cho thấy sự chuẩn bị tối thiểu của răng 21.

Hình 16
Hình ảnh từ phía khẩu cái cho thấy khoảng trống được để lại trên răng số 11 và 21.

Hình 17
Một mẫu hàm analog đã được lấy với mão răng zirconia ở vị trí, giúp kỹ thuật viên phòng lab chuẩn bị các veneer một cách chính xác.

Hình 18
Một Abutment tạm thời được sử dụng lại trên cấy ghép để giữ phục hồi tạm thời, được gắn vào phục hồi tạm thời trên răng số 21.

Hình 19
Hình ảnh bên của mão răng cho thấy hình dạng của mão răng trên cấy ghép, cùng với sự chuẩn bị cho veneer mặt ngoài.

Hình 20
Bức ảnh cho thấy mão răng cuối cùng trên implant, cùng với các veneer zirconia cuối cùng. Vật liệu zirconia sử dụng là EZneer, được xử lý với Biomic LiSi Connect để đạt được khả năng kết dính tối ưu. Lớp LiSi này, được áp dụng trên bề mặt zirconia trước khi nung, tăng cường hiệu suất kết dính lâm sàng của zirconia, mang lại hiệu quả tương tự như sứ thủy tinh.

Hình 21
Sau khi cố định mão răng trên implant, hai veneer disilicate đã được gắn vào. Kết quả cuối cùng cho thấy sự tương đồng giữa hai răng cửa trung tâm.

Hình 22
Hình ảnh bên của ca điều trị cho thấy phục hồi dày ở phần cổ của hai veneer. Thiết kế này bảo vệ nướu khỏi việc bị thức ăn dồn vào và ngăn ngừa sự tụt nướu trong tương lai.
Kết luận
Tóm lại, phục hồi thẩm mỹ răng cửa trên implant là một thách thức lâm sàng đáng kể. Sự kết hợp giữa việc cấy ghép ngay lập tức và sử dụng veneer lithium disilicate trên các răng bên cạnh mang lại giải pháp hiệu quả. Phương pháp này không chỉ đảm bảo sự ổn định và chức năng của cấy ghép mà còn đạt được kết quả thẩm mỹ tối ưu bằng cách duy trì sự hài hòa và đối xứng của nụ cười. Bằng cách lên kế hoạch cẩn thận và thực hiện việc cấy ghép và gắn veneer, các bác sĩ có thể phục hồi cả vẻ ngoài và sự tự tin của bệnh nhân, chứng minh tiềm năng chuyển mình của các kỹ thuật nha khoa hiện đại trong việc giải quyết các ca phức tạp.
Bạn có thể tham khảo thêm các loại vật liệu implant phổ biến
- Dụng cụ phẫu thuật implant
- Xương cấy ghép implant
- Đồ bảo hộ trong quá trình cấy ghép implant
- Sách cấy ghép nha khoa
- Vật liệu lấy dấu implant
- Mẫu hàm tư vấn implant cho bệnh nhân
Tài liệu được copy và dịch lại từ link: https://www.styleitaliano.org/when-veneering-an-implant-and-a-natural-tooth-solves-an-esthetic-problem/
Trong quá trình dịch có 1 số thuật ngữ chúng tôi dùng có thể sai, rất mong các bạn đọc và cho xin ý kiến để sửa lại, xin chân thành cảm ơn